
Descubre las causas y factores de riesgo de los quistes bucales
¿Sabías que nuestra boca es una de las zonas más expuestas de nuestro organismo a afecciones e infecciones de mayor grado?
Al ser utilizada tanto para comer como para comunicarnos, la cavidad bucal se presta a la aparición de diversas lesiones. Entre ellas, los quistes bucales.
En este artículo vamos a contarte en qué consisten, cuáles son sus síntomas, posibles causas y tratamientos más comunes. Con todo, si te queda alguna duda en el tintero, recuerda que siempre puedes contactar con nosotros sin ningún tipo de compromiso.
Estaremos más que encantados de poder ayudarte.
¿Qué son los quistes bucales?
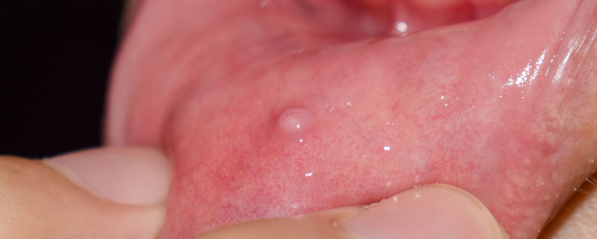
Los quistes bucales u odontológicos son pequeñas cavidades llenas de aire, líquido o incluso contenido sólido, y cubiertas, a su vez, por una membrana.
El también llamado quiste mucoso bucal o mucocele tienden a surgir en la parte interna de los labios; pero también es frecuente encontrarlos en la lengua, el paladar, el suelo bucal o la parte interna de las mejillas.
Si bien los quistes bucales no presentan complicaciones ni dolor asociado, su mera presencia ya genera malestar de por sí, ya que no deja de ser un bulto en el interior de la boca que puede afectarte en tu día a día, tanto a la hora de hablar como de comer.
¿Qué diferencias hay entre quistes bucales y llagas?
Aunque presentan semejanzas entre sí en apariencia, los quistes bucales son inofensivos e indoloros (al fin y al cabo, no son pequeñas úlceras como sí lo son las llagas). Lo cual no quiere decir que sean molestos, ya que pueden interferir con la masticación o incluso irritarse.
Tipos de quistes bucales
Si bien existen distintas tipologías de quistes bucales, la principal diferencia entre ellos reside en su ubicación. Por ejemplo, se conoce como épulis a los quistes bucales que aparecen en la encía, mientras que aquellos que surgen en la parte inferior de la boca reciben el nombre de ránulas.
Sin embargo, también podemos encontrar quistes dentígeros, que se forman alrededor de aquellas piezas dentales que aún no han salido (como las muelas del juicio); o los quistes residuales, que permanecen tras haberse extraído una o varias piezas dentales.
Síntomas de los quistes bucales
La gran mayoría de quistes bucales se presentan de forma asintomática, ya que son indoloros. De hecho, su presencia suele detectarse cuando se realiza una radiografía panorámica o intraoral.
Estos quistes odontológicos pueden surgir por distintos motivos:
En una gran mayoría de casos, su aparición viene asociada a una infección (por ejemplo, la de algún diente o en una encía). Con todo, también puede tener un origen dental. Más concretamente, vinculado al desarrollo de una caries. Incluso una mordida involuntaria puede propiciar que surja.
Impacto de los piercings bucales en la aparición de quistes
Existen casos en los que la presencia de un piercing en la boca puede originar la aparición de quistes de retención mucosa. Sobre todo, si este piercing se ha realizado en la lengua, debido a la propia perforación, ya que se podría producir una succión del tejido mucoso y la posterior formación de quistes bucales
¿Cuáles son las complicaciones asociadas a los quistes bucales?
Aunque sean indoloros, los quistes bucales pueden presentar complicaciones en algunos casos si no reciben el tratamiento adecuado, ya que puede darse una relación entre quistes bucales e infecciones colindantes.
Dos de las complicaciones más comunes son las siguientes:
- Si el quiste es de gran tamaño, la infección podría llegar a extenderse a la raíz de las piezas dentales colindantes.
- Otra complicación relativamente común, es que el quiste podría ocasionar reabsorción ósea mediante la cual poder expandirse.
Para evitar que alguna de estas complicaciones tenga lugar, así como para conseguir que su presencia deje de molestar, te recomendamos contactar con tu dentista de confianza para que pueda realizar un diagnóstico de los quistes bucales.
¿Cuáles son los tratamientos para los quistes bucales?
Antes de nada, conviene decir que muchos de los quistes bucales desaparecen por sí solos con el paso del tiempo. Con todo, si ves que permanecen durante más de dos semanas, te aconsejamos acudir a nuestra clínica dental de Moralzarzal (o a tu dentista de confianza); de tal modo que podamos analizar y diagnosticar el mejor tratamiento para tu caso concreto.
Una serie de tratamientos para quites bucales que, en la gran mayoría de situaciones, consisten en:
- Drenaje de quistes bucales. Mediante una aguja esterilizada se perfora la parte superior del quiste y se drena el líquido que este contenía. Si bien es un proceso muy sencillo, conviene que no lo hagas por ti mismo, ya que fácilmente podrías provocar infecciones posteriores.
- Extirpación quirúrgica de quistes bucales. A pesar del nombre, se trata también de un proceso bastante sencillo. Si a pesar del drenaje el quiste reaparece, se puede realizar una extirpación quirúrgica rápida (alrededor de 30 minutos), indolora (mediante anestesia local), y que apenas reviste complicaciones posteriores (más allá de posibles molestias o la aparición de algún tipo de edema).
Sin embargo, al igual que con toda infección, lo más recomendable es y será siempre la prevención de los quistes bucales.
En este sentido, evitar posibles succiones y mordeduras de la mucosa interna es fundamental (si bien es algo que no siempre podemos evitar de forma consciente); la higiene bucodental también es vital para prevenir los quistes bucales; y la importancia del seguimiento profesional en la prevención de quistes bucales (con mínimo una revisión periódica anual) sigue vigente al igual que con el resto de las infecciones bucodentales.
Recuerda que, siempre que lo necesites, siempre estaremos disponibles para concertar una cita contigo.